透明マウスピース矯正
インビザライン
透明で薄いマウスピース矯正だから誰にも気づかれずに歯並びをキレイにすることができます。また、取り外しが可能なので食事や歯磨きもストレスフリー。インビザラインは、笑顔に自信を持ちたいあなたにおすすめの矯正治療です。全世界80ヵ国以上で支持されている矯正治療です。
- 分割払いも可能です!
- 月々7,800円(税込)〜
インビザラインライトの場合
-
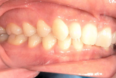
Case1 20代 男性
不正咬合の種類 過蓋咬合・上顎前突 矯正開始年齢 20代 治療名 インビザラインフル(コンプリヘンシブ) 治療期間 1年11か月 治療費用 798,000円(税込877,800円)
治療内容 過蓋咬合・上顎前突をお悩みでしたので、非抜歯インビザラインフルにて矯正治療開始。定期的な受診とマウスピースの装着時間を守っていただくなど、矯正治療に協力的でしたので、当初の治療期間通り2年以内に治療を終えることが出来ました。 リスク インビザラインフル治療は、装置の適切な装着が不可欠です。装着方法や装着時間が適切でない場合、計画通りに歯が移動しない可能性があります。 -
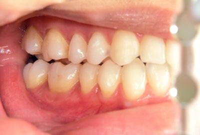
Case2 30代 女性
不正咬合の種類 叢生 矯正開始年齢 30代 治療名 インビザラインフル(コンプリヘンシブ) 治療期間 1年7か月 治療費用 798,000円(税込877,800円)
治療内容 叢生(ガタガタ)でお悩みでしたので、非抜歯インビザラインフルにて矯正治療開始。定期的な受診とマウスピースの装着時間を守っていただくなど、矯正治療に協力的でしたので、当初の治療期間通り2年以内に治療を終えることが出来ました。 リスク インビザラインフル治療は、装置の適切な装着が不可欠です。装着方法や装着時間が適切でない場合、計画通りに歯が移動しない可能性があります。 -
Case3 30代 女性
不正咬合の種類 反対咬合 矯正開始年齢 30代 治療名 インビザラインフル(コンプリヘンシブ) 治療期間 1年4か月 治療費用 798,000円(税込877,800円)
治療内容 反対咬合でお悩みでしたので、非抜歯インビザラインフルにて矯正治療開始。定期的な受診とマウスピースの装着時間を守っていただくなど、矯正治療に協力的でしたので、当初の治療期間通り1年6か月以内に治療を終えることが出来ました。 リスク インビザラインフル治療は、装置の適切な装着が不可欠です。装着方法や装着時間が適切でない場合、計画通りに歯が移動しない可能性があります。

-
矯正治療は
費用が高くて
手が出ない
-
もう大人だし
矯正治療をするには
遅いと思っている
-
ワイヤーが
痛そう
-
装置の見た目が
気になる
-
お手入れが
面倒そう
-
金属アレルギーが
気になる
従来の大人の矯正では、メタルブラケットにワイヤーを通して固定する方法が一般的でした。しかし、現在では矯正装置の種類が豊富になり、患者様の症状やご希望に合った装置で歯並びのお悩みを解決することが可能です。マウスピース矯正もその一つであり、見た目を気にせず歯列矯正を受けることができます。患者様の歯型をもとにオーダーメイドのマウスピースを作製し、定期的に交換しながら装着を続けることで、少しずつ歯並びを整えていきます。
-

装着しても
目立ちにくいブラケットとワイヤーを使用する矯正装置では、口を開けた時に金属が目立ってしまいます。
マウスピース矯正で使用する装置は透明なため、矯正していることを気付かれにくい利点があります。 -

費用が高額に
なり過ぎないワイヤー矯正では、歯科医院と技工所が装置を用意しますが、マウスピース装置は違った形で作られています。
また、矯正中の通院回数が少ない分、意外と安価で治療を受けることができます。 -

短期間で
矯正できるマウスピース矯正には適応症があり、比較的症状の軽い方は短期間(平均3年)で治療を行えます。
ご自身がマウスピース矯正ができるかどうか気になる方は、お気軽に当院にご相談くださればと思います。 -

自由に装置を
取り外せる通常のワイヤー矯正では調整以外で装置を外すことができませんが、マウスピース矯正はお好きな時に患者様自身で脱着が可能です。歯磨きがしやすく、お口と装置を衛生的に保つことができます。
-

装置を気にせず
食事を楽しめる固定式の矯正装置の場合は食べる物に気を遣い、粘着性の強いものや着色するものは避けなければなりませんでした。マウスピースなら、食事の時に取り外して食べたい物を思いっきり食べられます。
-

世界的に評価
されている方法マウスピース矯正を行うにあたり、当院ではアメリカのアライン・テクノロジー社が開発したインビザライン・システムを採用しています。世界100カ国以上の国々で提供され、これまでに520万人を超える患者様が治療を受けられています。(2018年1月現在)

インビザライン矯正
メタル
ブランケット矯正
リンガル矯正
- 矯正の種類
- 透明なマウスピースによる
矯正治療 - 歯の表面に金属を装着する
一般的な矯正治療 - 歯の裏側に装置を取り付ける
目立たない矯正治療
- 目立ちにくさ
- 透明マウスピースのため
目立たない - 歯の表面に金属を
装着するので目立つ - 歯の裏側に装置を
つけるので見えにくい
- 取り外しの可否
- 可能
- 不可能
- 不可能
- 痛みの少なさ
- 強い痛みが生ずることが
ほとんどない - 金属装着特有の
装置の不快感がある - 歯の裏側にあるので
舌や粘膜に痛みを感じやすい
- 金属アレルギー
- 金属を使用しないため
アレルギーの心配が無い - 金属使用による
金属アレルギーがある - 金属使用による
金属アレルギーがある
- ケアのしやすさ
- 取り外しが出来るため
歯のケアがしやすい - 取り外しが出来ないので
歯のケアが難しい - 取り外しが出来ないので
歯のケアが難しい
- 治療費用
- メタルブランケットと
さほど治療費用が変わらない - 治療費が他の矯正に
比べて最も安い - 特殊な装置なので
治療費も高額
- インビザラインと
メタルブランケット矯正の比較 インビザラインは、ご自宅でマウスピースを交換する事により治療を進めることができるので、2ヶ月間隔の通院で治療することもできます。お忙しい方や受験生の方なので、通院回数の少ない矯正治療をご希望の方におすすめです。
- インビザラインと
- インビザラインと
リンガルブランケット矯正の比較 矯正装置が見えないリンガルブラケットは目立ちにくい治療ですが、インビザラインに比べ治療費が高額になります。また、歯の裏側につけるので装置の不快感が強いです。
- インビザラインと
-

無料カウンセリング矯正相談
マウスピース矯正をご希望の方は、無料でカウンセリングを受けて頂けます。ぜひお気軽に当院にお越し頂き、歯並びに関するお悩みをお聞かせ下さい。インビザラインについてのご説明を行い、患者様からの様々な疑問にもお答えします。
-

精密検査
レントゲン撮影や歯型の採取をさせて頂き、患者様の資料を揃えます。資料をもとにコンピューター上で3次元の治療シミュレーションを行い、治療開始から終了までの治療計画を綿密に立てていきます。
-

検査結果のご説明
精密検査の結果をお伝えし、治療の内容、期間、費用などを患者様にご説明します。患者様に同意して頂いたのち、マウスピースのための歯型を採って装置を作製します。
-

矯正治療期間
発注から数週間でマウスピースが出来上がりますので、完成後は一度ご来院頂き、適合をチェックしてマウスピースをお渡しします。治療期間中は毎日決められた時間マウスピースを装着し、定期的な通院・交換を繰り返して歯並びを整えます。
-

保定期間
保定期間では、動かした歯が後戻りしないように歯を固定します。この期間は個人差があり、数ヶ月から数年かかることがあります。
-

メンテナンス
保定期間終了後は定期的なメンテナンスを行い、お口の健康を維持していきます。歯石・プラーク除去や検査を通じて、虫歯・歯周病を予防します。
-
- インビザラインができない症状はありますか?
- インビザラインは、重度の不正咬合の治療には向いておりません。これはインビザラインに限らずマウスピース矯正全般に言えることですが、歯列の乱れが激しく、複雑な治療が必要な場合や歯を大きく移動させる必要がある場合は、別の方法が用いられることがあります。
-
- マウスピース矯正ができる年齢に上限は
ありますか? - お口の健康状態にもよりますが、基本的にはマウスピース矯正はいくつになっても受けることができます。
- マウスピース矯正ができる年齢に上限は
-
- マウスピース矯正で
抜歯を行うことはありますか? - マウスピース矯正では出来る限り「抜歯をしない」という選択のもとで治療方法を検討しますが、お口の状態によっては抜歯を行うケースがあります。また、抜歯まで至らなくとも、少しだけ歯を削って調整する方法を採ることもあります。
- マウスピース矯正で

木村歯科・矯正歯科 院長の木村です。
今回インビザラインのページを新しく刷新しました。
当院では、インビザライン治療を行うことで、より一層患者様のニーズにこたえる体制を整えております。
現在、矯正治療においては、インビザラインのようなマウスピース矯正が選ばれてきています。
少しでも患者様の選択肢が増え、また、笑顔につながることになれば幸いです。
当院のインビザライン治療に興味お持ちの方は、お気軽にご連絡ください。
無料相談随時受け付けております。
インビザラインの料金について
インビザラインは【毎月の調整料が含まれて】います。
治療期間によって費用が変わってしまう調整料を最初から含んだ金額ですので
「終わってみたら思いがけない出費になっていた」という心配がありません。
お支払いは便利な月々定額払いをご利用ください。
※信販会社との契約が必要です。
※現金一括払い、クレジットカード一括または分割払い、キャッシュカードの一括払い(即時引き落とし:ほぼすべてのキャッシュカードがそのまま使用できます)も可能です。
まずはクリーンチェックというシミュレーションから始まります。

インビザラインの開始には、最終的な歯並びをシミュレーションする「クリンチェック」という検査が必要です。
クリンチェックではあなたの歯並びがどのように改善され、最終的にどのような歯並びになるのかまでシミュレーションを確認していただく事ができます。
インビザラインクリーンチェック
保険診療の規定内は、保険算定(虫歯や歯周病等の治療がある場合は窓口負担が必要になります)
保険診療の規定外は、歯を動かすための費用として、各料金の表示価格に含まれます。
| 矯正装置 | 種類 | 料金 |
|---|---|---|
| マウスピース矯正 | インビザライン クイック (軽度症例※犬歯・小臼歯・大臼歯は動きません) |
片顎:272,800円(税込) |
| 両顎:327,800円(税込) | ||
| インビザライン ライト (中等度症例※小臼歯・大臼歯は動きません) |
547,800円(税込) | |
| インビザライン フル(全体) | 877,800円~(税込) | |
| インビザライン アドバンス(難症例※抜歯を含む) | 987,800円~(税込) |
お支払いについて
当院でのお支払いは、現金でのお支払い以外にも下記の方法がございます。
- クレジットカード
- 下記マークのクレジットをご利用いただけます。※各社ごとの金利は患者様負担

- デンタルローン

当院では、アプラスと提携し、より多くの患者様に治療をご提供できるよう歯科に特化したデンタルローンを導入しております。デンタルローンとは、歯科治療費をアプラスがお客様の代わりにお支払いし、患者様が自由に組めるプラン(回数)に沿って返済していただく仕組みです。
※ 学生の場合、保証人が必要となります。
-

〒730-0011 広島県広島市中区基町6-78
クレドパセーラ9F
-

〒734-0014 広島市南区宇品西5-11-1-104

-

〒734-0014 広島県東広島市黒瀬町丸山1420-1

-

〒739-2403 広島県東広島市安芸津町風早3206





















